피부에 새로운 시간을 선물하다

피부에 새로운 시간을 선물하다

피부에 새로운 시간을 선물하다

Your Skin, Our Present

1

가장 가까운 콜라겐

                                쥬브아셀은 단순한 겉모습의 변화에 머무르지 않고,
                                콜라겐을 직접 주입하여 피부 세포가 스스로 회복하고 재생할 수 있도록 도와 
                                피부 본연의 상태에 도움을 줄 수 있는 제품입니다.
                            
2

쥬브아셀
변치 않는 가치 3가지

자연스러움

안전성을 고려한 설계

지속성

이 세가지는 쥬브아셀이 변함없이 추구해온 가치입니다.

쥬브아셀은 이 가치를 바탕으로 변함없는 안전성과 효과, 그리고 신뢰를 약속합니다.

From real collagen,
to essential beauty

                        쥬브아셀은 인체 유래 진피 기반의 무세포 바이오소재이며,
                        콜라겐과 ECM 성분을 보존하여 피부 구조 개선과 
                        건강한 피부 상태 유지에 도움을 줄 수 있는 보조적 소재로 설계되었습니다.
                    
                        생체적합성이 뛰어난 무세포 동종진피(hADM) 파우더와 
                        독자적인 Ecell™ Technology의 시너지로 자극은 낮추고, 
                        탁월한 안전성과 효과를 선사합니다.
                    

피부 본연의 시간을 되찾는
쥬브아셀

초임계 CO₂ 유체 기반 ECM 보존 공정

ECELL™ Technology

쥬브아셀만의 특허 제조 기술

                            쥬브아셀은 초임계 유체 공정을 이용한
                            무세포 진피조직과 마이크로 입자 분산 필러 기술에 대해 
                            특허출원(심사중) 제10-2025-0039562호/ 제10-2022-0043858호를 출원하여
                            기술 경쟁력을 강화하고 있습니다.
                        
초임계 CO₂ 기술이란?
                                특정 고온, 고압의 임계점을 넘으면 
기체와 액체의 구분이 없는
초임계 유체 상태가 됩니다.
                                초임계 CO₂ 유체는 지방 용해 
성질을 지녀 세포막의 인지질을 녹여
세포 성분을 제거합니다.
                                이 과정에서 ECM 성장인자는 
보존되어 안전하고 효과적인
탈세포화가 가능합니다.
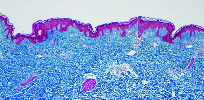
Magnification X 40

가공처리 전 피부

탈세포 공정 후에도 풍부한 콜라겐 존재

초임계 가공처리한 피부

피부 재건에 꼭 필요한
콜라겐ECM만을 온전히 보존합니다.

Product Lineup

피부의 상태와 시술 목적에 따라,
두 가지 juveàcell 라인으로 맞춤 케어가 가능합니다.

※ 무세포 동종진피 기반 제품으로, 멸균 상태로 포장되어 있으며
개봉 전까지 실온(1–30°C) 보관합니다.

FAQ

쥬브아셀의 주성분은 무엇인가요?

                        무세포 동종진피를 기반으로, 콜라겐과 엘라스틴, 
                        그리고 30여 종의 성장인자성분을 담은 제품입니다.
                    

쥬브아셀은 안전한가요?

                        제조 과정에서 계면활성제 대신 이산화탄소(CO₂)를 사용하여 
                        잔류 독성을 최소화하고, 알레르기 반응의 위험을 줄였습니다.
                    

쥬브아셀은 필러와 어떻게 다른가요?

                        본 제품은 볼륨 목적의 필러와는 다르게, 
                        피부 구조의 기본 구성 요소인 ECM 성분을 포함하여 설계되었으며, 
                        의료진 판단 하에 사용될 수 있는 제품입니다.
                    

쥬브아셀은 어디서 만나볼 수 있나요?

                        쥬브아셀은 성형외과, 피부과 등 의료법상 자격을 갖춘 의사에게만 시술 받을 수 있습니다.
                    

가까운 병원에서 ‘쥬브아셀’ 시술을 찾아보세요.

Your Skin, Our present

쥬브아셀 8%

주성분 Acellular Dermal Matrix
(micronized hADM, 무세포 동종 진피)
사용목적 피부재건
규격 1cc (micronized hADM 8% 함유)
형태 Pre-filled Syringe
보관방법 실온 1~30°c 보관
구분 인체조직

당신의 피부에 새로운 시간을 선물합니다.

Your Skin, Our present

쥬브아셀 3%

주성분 Acellular Dermal Matrix
(micronized hADM, 무세포 동종 진피)
사용목적 피부재건
규격 1cc (micronized hADM 3% 함유)
형태 Pre-filled Syringe
보관방법 실온 1~30°c 보관
구분 인체조직

당신의 피부에
새로운 시간을 선물합니다.

개인정보처리방침

쥬브아셀(이하 회사)는 웹사이트(juveacell.web-factory.co.kr) 이용 및 제반 서비스 제공시 개인정보보호법령에 따라 이용자의 개인정보 보호 및 권익을 보호하고 이용자의 고충을 원활하게 처리할 수 있도록 다음과 같은 처리방침을 두고 있습니다.

1. 개인정보 수집에 대한 동의

회사는 이용자가 개별 서비스 신청시 개인정보 수집 및 이용에 동의할 수 있는 절차를 마련하고 있습니다. 이용자는 동의를 거부할 수 있으며 동의를 거부하는 경우 해당 서비스 이용이 제한될 수 있습니다.

2. 개인정보 수집 및 이용 목적

회사가 이용자의 개인정보를 수집 및 이용하는 목적은 다음과 같습니다.

개인정보수집 및 이용 목적
구분 이용목적
문의 온라인 문의에 따른 의사 확인 및 본인 식별, 서비스 부정이용 방지, 각종 고지 및 안내, 분쟁 조정을 위한 기록 보존

3. 개인정보 수집 항목 및 방법

회사는 기본적인 서비스 제공을 위한 필수 정보만을 수집하고 있으며, 선택 정보의 경우 입력하지 않더라도 서비스 이용이 제한되지 않습니다. 회사는 수집한 정보를 이용 목적 외의 목적으로 사용하지 않습니다.

구분 수집 및 이용 항목
문의 (필수) 문의유형, 이름, 연락처, 이메일, 연락처, 문의내용

회사는 홈페이지를 통한 이용자의 각 신청서 작성을 통해 개인정보를 수집합니다.

4. 개인정보 보유 및 이용기간

회사는 이용자의 개인정보 수집 및 이용 동의일로부터 1년간 이용자의 개인정보를 처리 및 보유합니다. 단, 관계법령의 규정에 따라 개인정보를 보유하여야 할 필요가 있을 경우 일정기간 보유되며 이때 보유되는 개인정보의 열람 및 이용은 해당 사유로 제한됩니다.

5. 개인정보의 위탁 또는 제3자 제공

  1. 회사는 이용자의 개인정보를 타인 또는 타기업이나 기관 등 제3자에게 제공하지 않습니다.
  2. 회사는 이용자의 개인정보를 위탁하고 있지 않습니다. 다만 추후 서비스 향상을 위하여 이용자의 개인정보를 위탁하여 처리하게 되는 경우 사전에 이를 고지하고 위탁 계약 등을 통하여 수탁자를 관리하도록 하겠습니다.

6. 개인정보의 파기 절차 및 방법

  1. 회사는 원칙적으로 개인정보 처리 목적이 달성되어 개인정보 처리가 불필요하다고 인정되는 경우와 이용자가 개인정보의 파기를 요청한 경우에는 지체 없이 해당 개인정보를 파기합니다. 파기의 절차, 기한 및 방법은 다음과 같습니다.
  2. 파기대상인 정보는 목적 달성 후 별도 DB 또는 서류함으로 옮겨져 내부 방침 및 기타 관련 법령에 따라 지체없이 파기됩니다. 이때 내부 방침에 따라 별도DB 또는 문서로 옮겨진 개인정보는 법률에 의한 경우를 제외하고는 이용되지 않습니다.
  3. 이용자의 개인정보는 개인정보의 보유기간이 경과된 경우에는 보유기간의 종료일로부터 5일 이내에, 개인정보처리 목적달성, 해당 서비스의 폐지, 사업의 종료 등 그 개인정보가 불필요하게 되었을 때에는 개인정보 처리가 불필요한 것으로 인정되는 날로부터 5일 이내에 파기합니다.
  4. 전자적 파일 형태의 정보는 기록을 재생할 수 없는 기술적 방법을, 종이에 출력된 정보는 분쇄기로 분쇄하여 파기합니다.

7. 정보주체와 법정대리인의 권리 의무 및 그 행사방법에 관한 사항

  1. 정보주체는 회사에 대해 언제든지 아래 각 호의 권리를 행사할 수 있습니다.
    • 개인정보 열람 요구권
    • 개인정보 정정, 삭제 요구권
    • 개인정보 처리정지 요구권
    • 개인정보 수집, 이용 등에 대한 동의 철회
  2. 정보주체는 개인정보의 열람/정정/삭제/처리정지 요구 또는 동의 철회, 파기 요청을 하고자 하는 경우 하단의 개인정보보호책임자에게 요청할 수 있으며 회사는 이에 지체없이 필요한 조치를 취하도록 하겠습니다.
  3. 1항 및 2항에 따른 권리 행사는 정보주체 본인이 하여야 하며, 정보주체의 법정대리인이나 위임을 받은 자 등 대리인이 행사하고자 하는 경우 회사는 위임장 등의 추가 서류를 요청할 수 있습니다.
  4. 정보주체는 개인정보보호법령 등 관계법령을 위반하여 정보주체 본인 또는 타인의 개인정보를 사용하거나 침해하여서는 아니되며, 정보주체는 본인의 관리 하에 있는 정보를 본인의 책임 하에 관리하여야 합니다.

8. 개인정보 처리방침의 고지 또는 통지 방법

회사는 이용자가 동의한 범위를 벗어나는 목적으로 개인정보를 이용하거나 제3자에게 제공하는 경우 개별적으로 이용자의 추가 동의를 얻도록 하겠습니다. 회사는 타인에게 개인정보의 처리를 위탁하는 경우 홈페이지 개인정보 처리방침을 통하여 사전에 이를 고지하도록 하겠습니다.

9. 개인정보 보호를 위한 기술적 관리적 대책

  1. 내부관리계획의 수립 및 시행 : 회사는 개인정보의 안전한 처리를 위하여 내부관리계획을 수립하고 시행하고 있습니다.
  2. 해킹 등에 대비한 기술적 대책 : 회사는 해킹이나 컴퓨터 바이러스 등에 의한 개인정보 유출 및 훼손을 방지하기 위하여 보안프로그램을 설치하고 주기적인 갱신, 점검 등을 수행하고 있습니다.
  3. 개인정보 처리 직원의 교육 : 개인정보 관련 처리 직원은 최소한의 인원으로 구성되며, 개인정보보호 의무에 관한 정기적인 교육과 내부 절차를 마련하고 있습니다.

10. 개인정보보호책임자

회사는 이용자의 개인정보를 보호하고 고충처리를 위하여 개인정보 보호책임자를 정하고 있습니다.

이름
직책 정보관리보호책임자
연락처
이메일

11. 개인정보 처리방침 변경

본 개인정보처리방침은 2022년 09월 23일 제정되었습니다.
본 개인정보처리방침은 시행일로부터 적용되며, 법령 및 방침에 따른 변경 내용의 추가, 삭제, 정정이 있는 경우 변경사항의 시행일 7일 전부터, 이용자에게 불리하거나 중요한 내용의 경우 시행일 30일 전부터 고지하도록 하겠습니다.